LA CLAVE PARA IDENTIFICAR IMPLANTES.
La retirada de un implante dental puede convertirse en un procedimiento complejo, especialmente cuando existe fractura, mala osteointegración o fallo biomecánico. En estos casos, utilizar un sistema de extracción adecuado es clave para preservar el hueso alveolar y evitar procedimientos más agresivos.
Actualmente, los sistemas de extracción universal permiten abordar estos casos de forma controlada, eficiente y predecible.
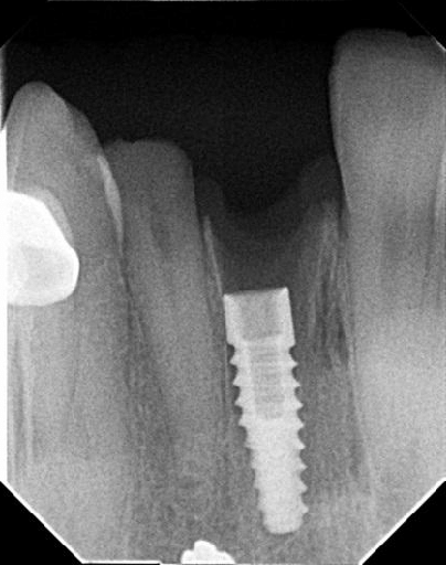
¿Qué es una radiografía periapical?
La radiografía periapical es una técnica de imagen intraoral utilizada en odontología para obtener una visualización detallada de un diente o implante y su entorno inmediato.
Este tipo de radiografía permite observar:
Gracias a su alta definición, es una prueba imprescindible tanto para el diagnóstico como para el seguimiento de tratamientos implantológicos.
TÉCNICA DE LA BISECTRIZ
El plano de la película y el eje axial del diente forma un ángulo con vértice en el punto de contacto de la película con el diente. El haz de rayos se dirige hacia el ápice de los dientes, perpendicular al plano de la bisectriz.
TÉCNICA DEL PARALELISMO
Consiste en colocar el sensor radiográfico paralelo al eje longitudinal del diente o implante, mientras que el haz de rayos X incide perpendicularmente sobre ambos.
Ventajas:
Es la técnica de elección para la identificación de implantes.
El paciente se posiciona en el sillón dental y se protege con delantal plomado y collar tiroideo para minimizar la exposición a la radiación.
Se utiliza un sistema de posicionamiento con anillo guía que permite mantener el sensor estable y correctamente alineado. Es fundamental asegurar:
El cabezal del equipo radiográfico se posiciona alineado con el sistema de posicionamiento, garantizando la distancia foco-receptor y la perpendicularidad del haz.
Se realiza la emisión de rayos X durante el tiempo necesario para capturar la imagen, optimizando parámetros para obtener máxima nitidez con mínima dosis.
