CÓMO EXTRAER UN IMPLANTE DENTAL – ES
CÓMO EXTRAER UN IMPLANTE DENTAL Soluciones seguras y mínimamente invasivas LA CLAVE PARA IDENTIFICAR IMPLANTES. La retirada de un implante dental puede convertirse en un...
Read More »
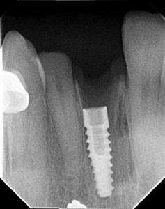
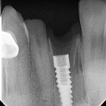
CLAVES PARA IDENTIFICAR UN IMPLANTE – ES
RADIOGRAFICAS PERIAPICALES Herramienta esencial para identificar implantes dentales LA CLAVE PARA IDENTIFICAR IMPLANTES. La identificación de implantes dentales sin información previa es una situación frecuente...
Read More »
CÓMO EXTRAER UN IMPLANTE DENTAL – ES
CÓMO EXTRAER UN IMPLANTE DENTAL Soluciones seguras y mínimamente invasivas LA CLAVE PARA IDENTIFICAR IMPLANTES. La retirada de un implante...
Leer más →
CLAVES PARA IDENTIFICAR UN IMPLANTE – ES
RADIOGRAFICAS PERIAPICALES Herramienta esencial para identificar implantes dentales LA CLAVE PARA IDENTIFICAR IMPLANTES. La identificación de implantes dentales sin información...
Leer más →
Curso Escaner Intraoral
CURSO ESCANER INTRAORAL Dentis Europe Volver El 27 de septiembre tuvo lugar nuestro curso de Escaneado Intraoral Medit y Digitalización...
Leer más →
